Skip to main content
FILTERED BY TAG:

TMJ Chiropractor

X

Sunshine Coast Chiropractor TMJ treatment 

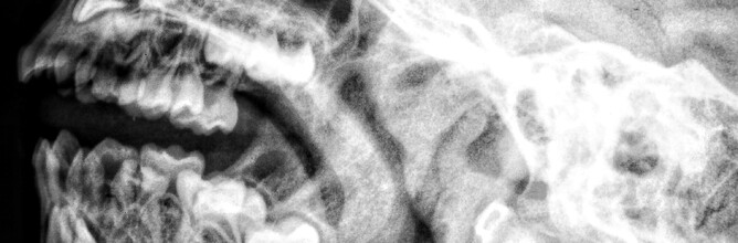
TMJ (Temporomandibular Joint) disorder is a common condition that affects the jaw joint and its surrounding muscles. Symptoms of TMJ disorder include pain and discomfort in the jaw, neck, and face, difficulty chewing, and clicking or popping sounds when opening and closing t...
Read more

Temperomandibular Joint (TMJ) Dysfunction and Chiropractic approach of TMJ Treatment

TMJ dysfunction (Jaw dysfunction) is a commonly experienced musculoskeletal issue.  People regularly consult us for Chiropractic advice regarding TMJ issues, from clicking, soreness to Jaw tension that seems linked with headaches.  Chiropractic care is focusse...
Read more